こんにちは。
新柴又たきぐちファミリー歯科、院長の瀧口です。今回は虫歯治療を実際の写真と共にご紹介します。
こんにちは。
新柴又たきぐちファミリー歯科、院長の瀧口です。今回は虫歯治療を実際の写真と共にご紹介します。



【相談内容】
痛むところはないが全体的に虫歯をチェックしてほしい。
【診断結果】
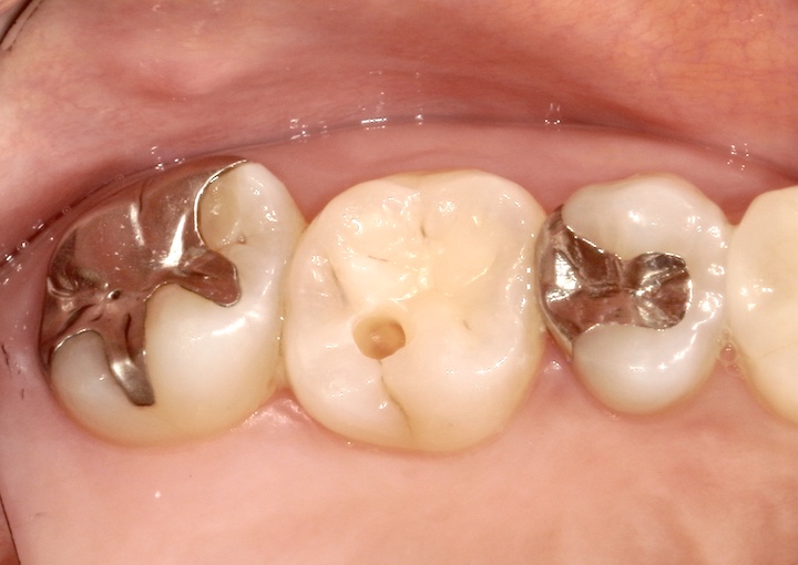
左上の奥歯(前から6番目)の歯の中央部に虫歯で黒くなっていました。痛みが出るほどではないためご本人が気づかれることがなかったため治療を進めることとなりました。
【治療内容】
初めにお口の中の汚れが多く虫歯の範囲が不明瞭であったため保険診療内でクリーニングと歯ブラシ指導を行いました。部分的な詰め物で対応が可能と判断したため、歯科用のプラスチックであるコンポジットレジンを使用することとしました。
治療を開始し歯を削り進めていきましたが、虫歯は思ったより深い状態でした。削っている間にお痛みを感じなかったため麻酔は使用しませんでした。治療したところが目立ちにくいように歯の色見本であるシェードガイドを用いコンポジットレジンを詰めて固めました。
【治療後の状態】
治療後は痛みもなく今まで通りお食事をされているそうです。虫歯がないと思っていたけれど痛みが出る前に治療できたことにご満足されておりました。
【治療のリスク/今後考えられること】
コンポジットレジンは永久に壊れないものではありません。ヒビが入ったりかけたり取れたりする可能性があり、そこから再度虫歯になる可能性もあります。定期的な検診を継続して受けて頂くことにより、良い状態を維持することが可能です。
年齢・性別
30代女性
診療種別
保険診療
治療期間・回数
1回
麻酔の有無
なし
この治療費総額の目安
1,000〜2,000円(治療内容により金額が前後する場合もございます。)
葛飾区の歯科・歯医者
新柴又たきぐちファミリー歯科
院長 瀧口晋平