
新柴又たきぐちファミリー歯科では、口腔外科にも対応しております。
口腔外科とは、一般的に親知らずの抜歯やインプラント治療などの外科的治療を指します。また、外傷や顎関節症などの治療もこの分野に含まれます。
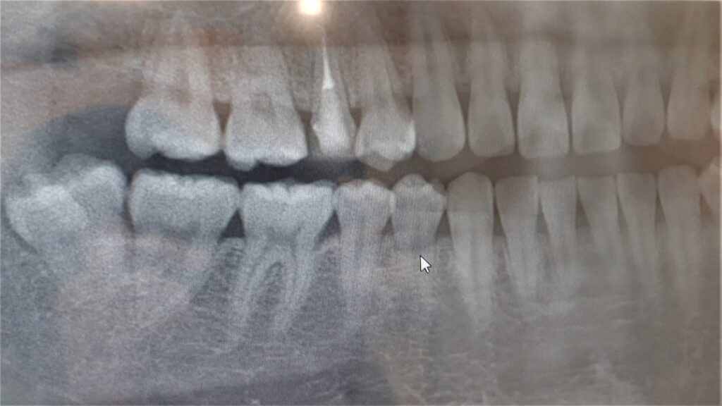
当院では、生え方が複雑で難症例と判断した場合には連携する大学病院へのご紹介もしております。

親知らずを抜歯すべきか?または抜かないか?これは患者さまからよく聞かれるお悩みの1つです。
判断としては、自分で判断せずに掛かりつけの歯科医に相談をすることが大切です。もし、掛かりつけの歯科医院がない場合は『定期検診』などの時にご相談ください。当院でも定期検診は保険内で受けることが可能ですので、その際にご相談ください。
※検査料や一般的なレントゲンの費用は別途掛かります。
1.虫歯や歯周病
親知らずは歯ブラシの届きにくい場所に生えていることが多く、虫歯や歯周病になりやすい、もしくはすでに罹患している可能性が高いため、抜歯をした方が良い場合があります。
さらに虫歯や歯周病が重度に進行してしまってからの抜歯は困難となりやすいですので、必要に応じて早めの処置をお勧めします。
2.噛み合わせが悪くなってきている
親知らずは横や斜めに生えていたり埋まっていることがあり、隣の歯を押して歯並びを悪くさせる原因となる場合があります。気になるような感覚がある場合はご相談ください。
3.歯科矯正治療を受ける・始める場合
歯科矯正を行う際に親知らずの抜歯が必要となる場合があります。
親知らずが横向きや斜めに生えていると歯並びに影響を与えます。それにより治療が長引いたり、矯正した歯並びが悪化する場合もあります。状況に応じて適切な対応をご提案します。
1.正常に生えている
親知らずがまっすぐ生えており他の歯にも影響がないと判断される時は抜歯を行わない場合もあります。
噛み合わせの状態も加味して判断します。
2.完全に埋まっている
親知らずが完全に埋まっていて他の歯に悪影響がない場合はあえて抜歯しないこともあります。
状況により隣の歯に影響が出ることもありますので、定期的な歯の検診は必要です。